• ClipSaver
  • dtub.ru
ClipSaver
Русские видео
  • Смешные видео
  • Приколы
  • Обзоры
  • Новости
  • Тесты
  • Спорт
  • Любовь
  • Музыка
  • Разное
Сейчас в тренде
  • Фейгин лайф
  • Три кота
  • Самвел адамян
  • А4 ютуб
  • скачать бит
  • гитара с нуля
Иностранные видео
  • Funny Babies
  • Funny Sports
  • Funny Animals
  • Funny Pranks
  • Funny Magic
  • Funny Vines
  • Funny Virals
  • Funny K-Pop

Mid muscular VSD скачать в хорошем качестве

Mid muscular VSD 3 года назад

скачать видео

скачать mp3

скачать mp4

поделиться

телефон с камерой

телефон с видео

бесплатно

загрузить,

Не удается загрузить Youtube-плеер. Проверьте блокировку Youtube в вашей сети.
Повторяем попытку...
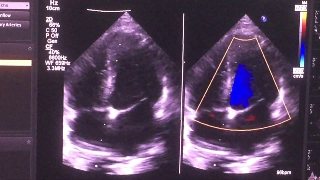
Mid muscular VSD
  • Поделиться ВК
  • Поделиться в ОК
  •  
  •  


Скачать видео с ютуб по ссылке или смотреть без блокировок на сайте: Mid muscular VSD в качестве 4k

У нас вы можете посмотреть бесплатно Mid muscular VSD или скачать в максимальном доступном качестве, видео которое было загружено на ютуб. Для загрузки выберите вариант из формы ниже:

  • Информация по загрузке:

Скачать mp3 с ютуба отдельным файлом. Бесплатный рингтон Mid muscular VSD в формате MP3:


Если кнопки скачивания не загрузились НАЖМИТЕ ЗДЕСЬ или обновите страницу
Если возникают проблемы со скачиванием видео, пожалуйста напишите в поддержку по адресу внизу страницы.
Спасибо за использование сервиса ClipSaver.ru



Mid muscular VSD

Assalam 0 Alaikum viewers.. Interventricular septum is formed of four componants.Trabecular/muscular,inlet,outlet and membranous .Defect in any of these areas will be named accordingly. Muscular VSDs are usually small and rarely cause hemodynamical harm to the pt. On examination theses VSDs produces harsh systolic murmur so detected in early neonatal life. Majority of them closes spontaneously.

Comments
  • Types of ASD echocardiography 2 года назад
    Types of ASD echocardiography
    Опубликовано: 2 года назад
  • Morphology of Muscular VSD - Hatem Hosny 5 лет назад
    Morphology of Muscular VSD - Hatem Hosny
    Опубликовано: 5 лет назад
  • Patent Ductus Arteriosus (PDA) 3 года назад
    Patent Ductus Arteriosus (PDA)
    Опубликовано: 3 года назад
  • Tips and tricks of VSD echocardiography (Ventricular Septal Defect) 2 года назад
    Tips and tricks of VSD echocardiography (Ventricular Septal Defect)
    Опубликовано: 2 года назад
  • Анимация операции по замене аортального клапана, автор — доктор медицины Кэл Шипли. 5 лет назад
    Анимация операции по замене аортального клапана, автор — доктор медицины Кэл Шипли.
    Опубликовано: 5 лет назад
  • Perimembranous VSD 5 лет назад
    Perimembranous VSD
    Опубликовано: 5 лет назад
  • Outlet ventricular septal defect 5 лет назад
    Outlet ventricular septal defect
    Опубликовано: 5 лет назад
  • Atrial Septal Defect ( ASD & PFO ) 3 года назад
    Atrial Septal Defect ( ASD & PFO )
    Опубликовано: 3 года назад
  • The Walls of the Heart are Thick – Case of Fabry’s Disease (HCM Microlesson Case Example #4) 3 года назад
    The Walls of the Heart are Thick – Case of Fabry’s Disease (HCM Microlesson Case Example #4)
    Опубликовано: 3 года назад
  • Four types of pulmonary stenosis echocardiography 2 года назад
    Four types of pulmonary stenosis echocardiography
    Опубликовано: 2 года назад
  • Ventricular Septal Defect 3 года назад
    Ventricular Septal Defect
    Опубликовано: 3 года назад
  • Hands-On Experience 24: PFO / ASD or Not? Role of Bubble test 2 года назад
    Hands-On Experience 24: PFO / ASD or Not? Role of Bubble test
    Опубликовано: 2 года назад
  • Echo Imaging of the ASD 15 лет назад
    Echo Imaging of the ASD
    Опубликовано: 15 лет назад
  • Guidelines for the Echocardiographic Assessment of Atrial Septal Defect & Patent Foramen Ovale 10 лет назад
    Guidelines for the Echocardiographic Assessment of Atrial Septal Defect & Patent Foramen Ovale
    Опубликовано: 10 лет назад
  • Holes in the Heart: VSD/VSR Edition 3 года назад
    Holes in the Heart: VSD/VSR Edition
    Опубликовано: 3 года назад
  • Truncus Arteriosus 11 лет назад
    Truncus Arteriosus
    Опубликовано: 11 лет назад
  • Транспозиция магистральных артерий (ТМА) 2 года назад
    Транспозиция магистральных артерий (ТМА)
    Опубликовано: 2 года назад
  • Adult Congenital Heart Disease-What Every Cardiologist May See or Miss 3 года назад
    Adult Congenital Heart Disease-What Every Cardiologist May See or Miss
    Опубликовано: 3 года назад
  • Echocardiography for beginners - How to label the walls of the Left Ventricle (16 segment model). 4 года назад
    Echocardiography for beginners - How to label the walls of the Left Ventricle (16 segment model).
    Опубликовано: 4 года назад
  • Ischemic Dilated Cardiomyopathy & Severe MR & DDG III& Moderate AR&Severe TR & Severe PHTN 7 месяцев назад
    Ischemic Dilated Cardiomyopathy & Severe MR & DDG III& Moderate AR&Severe TR & Severe PHTN
    Опубликовано: 7 месяцев назад

Контактный email для правообладателей: u2beadvert@gmail.com © 2017 - 2026

Отказ от ответственности - Disclaimer Правообладателям - DMCA Условия использования сайта - TOS



Карта сайта 1 Карта сайта 2 Карта сайта 3 Карта сайта 4 Карта сайта 5